您的位置: 主页 > 湿疹

湿疹早期发病都有哪些征兆

发布时间:    文章来源:佛山江湾皮肤专科
  湿疹是一种常见的皮肤病,常出现在肘部、膝盖弯曲处、脸部和手部等部位。湿疹的早期发病征兆各有不同,以下是一些常见的征兆。<<<在线咨询
 
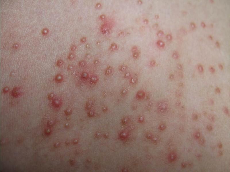
  1.皮肤瘙痒:湿疹早期明显的症状是皮肤的瘙痒感。这种瘙痒感可能会逐渐加剧,尤其在夜间和在温度上升时更为明显。
 
  2.皮肤干燥和红肿:湿疹早期,患处的皮肤通常会显得干燥,可能出现轻微的红肿和炎症。这些症状可能会逐渐在一周左右内恶化。
 
  3.斑丘疹:早期湿疹的皮肤往往会出现小而凸起的斑丘疹,这些疹子通常呈红色,并伴有瘙痒感。斑丘疹可能会扩散并渐渐合并在一起形成大片。
 
  4.水疱:湿疹的早期还可能伴有水疱的出现。这些水疱类似于小颗粒,里面充满了液体,可能会引起患者瘙痒和疼痛。
 
  5.鳞屑和脱屑:湿疹初期的皮肤可能会出现脱屑和鳞屑。被湿疹困扰的人可能会觉得患处的皮肤非常脆弱,容易出现表皮脱落。
 
  6.渗液和结痂:在湿疹发展的早期,患处的皮肤可能会渗出液体,并在皮肤表面形成结痂。这些结痂通常很痒,可能会引发患者的刮痒行为,进一步加剧湿疹的症状。
 
  7.皮肤变厚和粗糙:随着湿疹的发展,早期的症状可能会引发皮肤的变厚和变得粗糙。患处的皮肤可能会显得粗糙不平,并且触感较为粗糙。
 
  总之,湿疹的早期发病征兆主要包括皮肤的瘙痒、干燥和红肿、斑丘疹、水疱、脱屑和鳞屑、渗液和结痂,以及皮肤变厚和粗糙等症状。如果您有上述症状,建议尽快就医,寻求医生的专业指导和治疗,以便减轻症状并避免疾病的进一步恶化。同时,保持皮肤清洁、保湿,避免摩擦和刺激,也有助于湿疹的治疗和预防。请记住,本文只提供了湿疹早期发病征兆的一般信息,具体的诊断和治疗建议应咨询专业医生。

推荐大夫 更多医生 >>

熊海燕 在线咨询 医生简介:一直以来巧妙融合中西医双向诊疗...
张波 在线咨询 张波 职称: 皮肤科主任 医生简介: 张...
靳亚利 在线咨询 擅长:白斑、鱼鳞病、痘痘、痤疮、脱发、荨...

关闭