您的位置: 主页 > 皮肤过敏

皮肤过敏反复发作怎么治疗

发布时间:    文章来源:佛山江湾皮肤专科
  皮肤过敏是一种常见的皮肤疾病,其发病原因多样,如食物、药物、环境因素等。皮肤过敏反复发作给患者的生活带来了很大的困扰,那么如何治疗这种疾病呢?<<<在线咨询
 
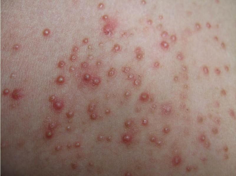
  皮肤过敏的症状主要表现为皮肤红肿、瘙痒、疱疹、糜烂等,患者还可能伴有湿疹、荨麻疹等症状。这些症状会严重影响患者的生活质量,因此及时治疗是非常重要的。
 
  首先,了解皮肤过敏的原因对症治疗是必要的。如果是由食物引起的过敏反应,那么患者应避免食用该食物,比如对海鲜过敏的患者要远离海产品。如果是由药物引起的过敏反应,患者在就医时要向医生详细告知自己的药物过敏史,以免再次触发过敏反应。此外,环境因素如花粉、宠物毛发等也可能引发过敏,患者需要尽量避免接触这些过敏原。
 
  其次,使用适当的药物进行治疗也是必不可少的。常用的治疗皮肤过敏的药物主要分为两类:抗组胺药和糖皮质激素。抗组胺药主要用于缓解过敏引起的瘙痒和红肿,可以通过控制组胺的释放来减轻症状。而糖皮质激素则具有抗过敏和消炎作用,可以快速缓解皮肤过敏的症状。但是糖皮质激素因其副作用较大,需要在医生指导下使用,并遵循药物剂量和疗程等方面的注意事项。
 
  除了药物治疗外,患者还可以尝试一些保健措施来缓解和预防皮肤过敏的发作。首先,保持皮肤清洁,避免过度清洁,选择温和的洗涤用品,并避免刺激性的化妆品。其次,注意保湿,及时使用适合自己的保湿产品,并避免过度使用矿物质油类产品。此外,保持良好的生活习惯,注意健康饮食,避免暴饮暴食和嗜食辛辣刺激性食物,避免熬夜和长期处于压力环境中。
 
  总之,皮肤过敏反复发作给患者的生活带来了很大的困扰,但是通过对症治疗和保健措施的结合,可以有效缓解和预防皮肤过敏的发作。患者应该积极配合医生的治疗方案,避免诱发过敏的因素,保持良好的生活习惯,以减少皮肤过敏的发作。如果症状严重且无法缓解,建议及时就医,寻求专业医生的帮助。

推荐大夫 更多医生 >>

熊海燕 在线咨询 医生简介:一直以来巧妙融合中西医双向诊疗...
张波 在线咨询 张波 职称: 皮肤科主任 医生简介: 张...
靳亚利 在线咨询 擅长:白斑、鱼鳞病、痘痘、痤疮、脱发、荨...

关闭